Str Amman nr.2B sect.1
Bucuresti
08:00 - 20:00
Luni - Vineri
contact@therapydent.ro
0720 444 033
Bucuresti
Luni - Vineri
0720 444 033
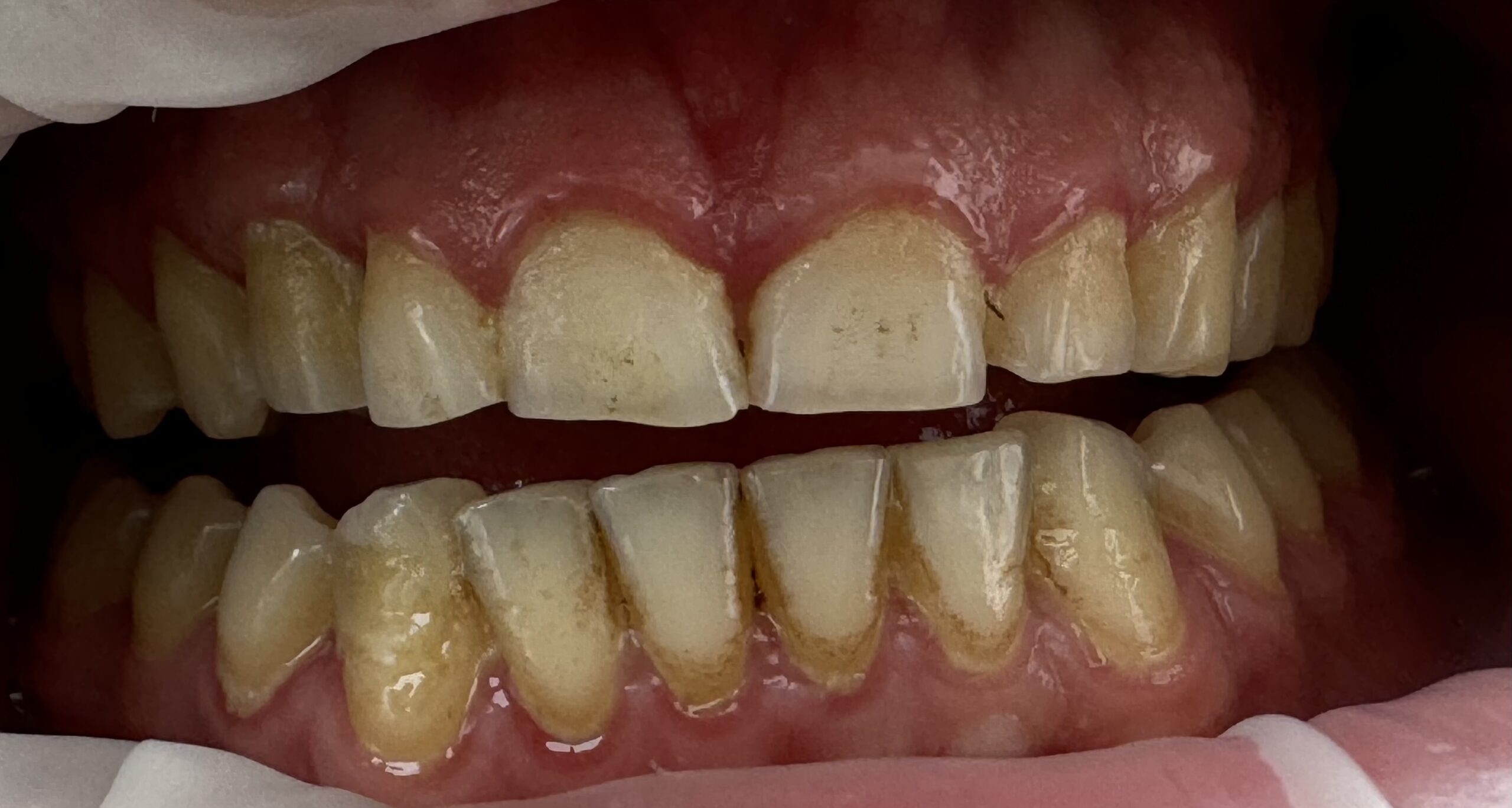
Acestea sunt simptomele parodontozei, o afecțiune care, dacă este ignorată, poate duce la tratamente mult mai complexe și costisitoare!
O consultație alături de un screening parodontal te vor ajuta să împiedici sau să ameliorezi bolile prodontale și să îți menții sănătatea gingiilor!
Rezervă-ți locul acum și asigură-ți sănătatea orală la un preț super avantajos!
Parodontoza este denumită popular “boala dinților sănătoși”, deoarece această afecțiune distruge în timp țesuturile de susținere ale dinților fără a avea neapărat o simptomatologie precum durere sau carii.
Gingivita și boala parodontală sunt, după carie, cele mai des întâlnite probleme orale și sunt în topul factorilor cauzatori ai pierderii dintilor. Un procent de 70-80% dintre pacienți sunt diagnosticați anual cu probleme gingivale in diverse stadii evolutive.
Boala parodontală este cunoscută în termeni medicali ca parodontopatie marginală sau parodontită, iar în limbaj popular ca parodontoză. Cea mai răspândită denumire este parodontoza, însă, din păcate, ea este adesea asociată greșit doar cu înaintarea în vârstă.
Parodontoza debutează adesea cu gingii roșii, umflate și care sângerează ușor la periaj sau folosirea aței dentare. Pe măsură ce boala progresează, pot apărea retracții gingivale, mobilitate dentară și respirație urât mirositoare. Dacă observi aceste semne, este esențial să consulți un specialist pentru un diagnostic și tratament adecvat.
👉 Nu aștepta! Programează acum o consultație pentru a preveni complicațiile parodontozei.

Vrei să-ți protejezi sănătatea gingiilor și să previi complicațiile parodontozei? Programează-te acum pentru o consultație!
Programează-te aici👉 50% REDUCERE – de la 6950 lei la 3450 LEI
Această ofertă te ajută să începi tratamentul parodontozei la timp, prevenind complicațiile și protejând sănătatea gingiilor și a dinților tăi.
Mai jos poți găsi răspunsurile la câteva dintre întrebările comune puse de paciențiȘ
Plata se poate face cash, card sau în rate.
Ne poți suna, trimite un email sau completa formularul de contact urmând să te contactăm noi. Mai multe detalii găsești pe pagina de contact.
Str Amman nr.2B sect.1 Bucuresti
Ne poți contacta folosind metodele de mai jos sau formularul de contact:
contact@therapydent.ro
0720 444 033
Str Amman nr.2B sect.1 Bucuresti
Email: contact@therapydent.ro
Telefon: 0720 444 033
Adresa: Str Amman nr.2B sect.1 Bucuresti